概論
角膜感染症
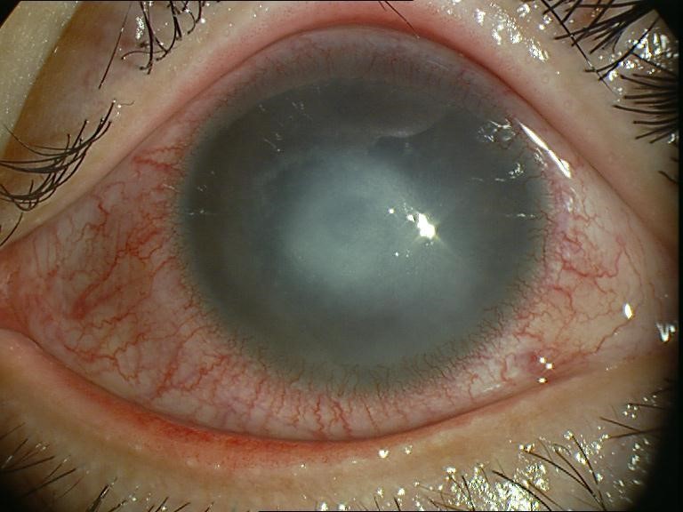
コンタクトレンズ装用の最も重い合併症に角膜感染症があります。コンタクトレンズのケアが不十分だったり、間違えた方法でレンズ装用をしたりすることで、コンタクトレンズにいわゆるばい菌が付着して、そのばい菌が目の黒目(角膜)に感染することで、角膜が白くなります。軽いものから重いものまで様々ですが、重い角膜感染症だと、治療が効かずに、角膜に穴が空いたり、治った後も角膜が白く濁ったままになったりします(図1)。
【図1 コンタクトレンズ装用者に認められた角膜感染症】
黒目が真っ白になって視力低下を示している
コンタクトレンズ装用で失明する主な合併症は、この角膜感染症になります。角膜感染症を起こすばい菌としては、細菌、真菌(カビ)、アカントアメーバがあり、とくに水場に生息する緑膿菌やアカントアメーバは、コンタクトレンズやレンズケースを汚染させやすいばい菌です。角膜感染症を起こした患者さんのレンズやレンズケースを確認するととても汚れていて(図2)、多くのばい菌が検出されます。
【図2 角膜感染症の患者さんが実際使用していたレンズとケース】
かなり汚れているのが確認できる
また、1日使い捨てのコンタクトレンズを1週間以上使用している場合も発症する方がいらっしゃいます。ですので、角膜感染症の最大のリスクは、コンタクトレンズケアが不十分な場合に起こります。
角膜感染症を予防するには、①レンズケアをしっかりすること ②適切にレンズ装用をすることが必要です。「あの時しっかりケアしておけば、見えていたのに…」と後悔しないように日ごろのケアをしっかりしましょう。
【執筆者】鈴木 崇(いしづち眼科/東邦大学医療センター大森病院)
