角膜移植後
不正乱視に対するハードコンタクトレンズ 角膜移植眼
角膜移植は100年以上の歴史を持つ移植手術です。角膜移植は日本で年間3,000件程度施行されていますが、白内障手術の手術件数は年間130万件といわれていますので、これに比べるとマイナーな手術ということになります。角膜移植の適応となる疾患は角膜に混濁がある疾患、円錐角膜など角膜の形状に異常がある疾患、感染症などで角膜に穴が開いて修復が必要な状態などいろいろですが、最も多いのは角膜が混濁した状態です。角膜混濁の原因にもいろいろとありますが、現在の日本で多いのは水疱性角膜症という角膜内皮が減少した疾患です。
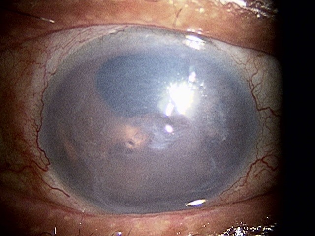
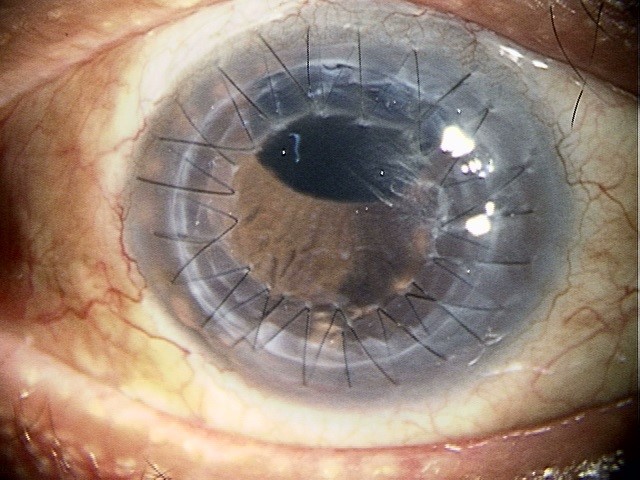
実際の症例を示します。図1は白内障や緑内障など複数の眼科手術を受けた後に発症した水疱性角膜症です。この症例では全層角膜移植という角膜全体を直径8ミリ程度で交換する手術を行いました(図2)。中央部の角膜が透明になり、目の中がよく見えるようになっているのがわかります。
- 図1:全層角膜移植術前
-

水疱性角膜症で角膜全体が混濁している。
- 図2:全層角膜移植の術後
-

移植片はきれいで、角膜の透明性は回復している。
図3も白内障術後の水疱角膜症の症例です。この症例では角膜を切開せずに、角膜の後面に円板状の移植片を挿入して、減少している角膜内皮細胞を足すような手術を行いました(角膜内皮移植)。
- 図3:角膜内皮移植術前
-

水疱性角膜症で角膜全体が混濁している。
図4に示すように角膜は透明になっており、周辺部には移植した円板状の移植片のエッジが見られます。
- 図4:角膜内皮移植の術後
-

移植片は角膜後面に接着しており、角膜の透明性は回復している。
さて、両方とも角膜は透明性を回復したわけですが、手術後の視力はどのくらいでしょうか。実は後者(角膜内皮移植)では軽い乱視の眼鏡をかけることで1.0の視力が得られたのですが、前者(全層角膜移植)ではどんな眼鏡をかけても視力は0.1程度でした。この差は手術後の角膜形状、角膜の不正乱視の程度から生まれています。
全層角膜移植の症例の角膜形状の解析結果を図5に示します。
- 図5:全層角膜移植後の角膜形状
-

左上のマップで強い角膜不正乱視が認められる。
4枚の画像がありますが、左上の画像がわかりやすいので、ここだけをご覧下さい。左上の画像は角膜の屈折力を場所毎に測定した角膜の形のマップです。赤など暖色系の部分は角膜のカーブが急であること(角膜が急峻)を示し、青など寒色系の部分は角膜のカーブが緩い(角膜が平坦)ことを示しています。一見して赤青様々な色が入り乱れているのがわかります。このような乱視の形状を不正乱視と呼びます。一方、角膜内皮移植の症例ではどうでしょうか(図6)。
- 図6:角膜内皮移植後の角膜形状
-

角膜の形状は良好で、大きな不正乱視はない。
左上のマップを見ますとほとんどが黄色か黄緑であり、角膜の形の乱れが少ないことがわかります。両者の手術後の視力差は不正乱視の有無によるものです。
このような角膜移植後の不正乱視を矯正するのにハードコンタクトレンズは非常に有用なツールとなります。角膜移植後のハードレンズは症例に合わせたカスタムメードになることが多いですが、先ほどご覧になった症例でもハードレンズを装用させることで1.0の視力を得ることができました。不正乱視の矯正方法としては治療的角膜切除術などレーザー手術も考えられますが、施行しやすく、乱視の矯正力も高いのはコンタクトレンズです。全層角膜移植や表層角膜移植では不正乱視は避けられないもので、手術後の視力不良の原因となりやすいものです。手術後に期待したような視力が得られない場合、ハードコンタクトレンズの適応はないか主治医に御相談ください。
【執筆者】山田 昌和
