円錐角膜
円錐角膜について
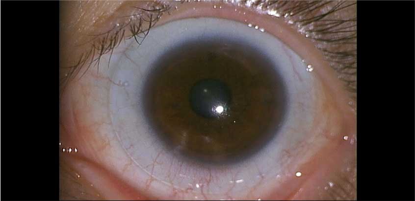
円錐角膜は、思春期に発症する角膜実質の脆弱性による角膜の菲薄化と前方突出を特徴とする進行性疾患です。多くの場合、10から20歳代前半で発症し、30から40代までに徐々に進行することが多いです。男女比は3:1で、男性が女性に比べてに多く見られます。

また、両眼性が多いですが、進行度が左右で異なる場合もあり、自覚症状は片眼のみの場合もあります。進行により近視の進行や不正乱視を来たし、眼鏡での矯正視力低下、ハードコンタクトレンズ装用時の痛みといった症状が現れます。円錐角膜は、レーシックなどの角膜による屈折矯正手術は禁忌です。角膜を削る屈折矯正手術では、角膜の強度が低下し、円錐角膜を進行させる可能性があります。有病率は統計によってもばらつきますが、およそ数千人から数万人に1人と推測されています。
自覚症状
初期症状には、まぶしく感じる、ものがだぶって見える、光に過敏になるなどがあります。さらに進行して角膜の突出が強くなり、角膜に濁りが生じると視力低下や霞みなどの症状が起こります。また「角膜急性水腫」言って、急激に視力が低下するケースがあります。これは角膜の内側面にあるバリア機能を持つデスメ膜が角膜の過度な伸展により裂け目ができ、眼内の前房水が急激に角膜の中に流入し、角膜実質に浮腫を来す状態です。急性水腫は数週間から数ヵ月間で改善することが多いが、強い角膜混濁が残り、視力障害を来す場合があります。
原因
ほとんどが孤発例で、遺伝的素因のあるものは約6%に留まります。角膜の病態は未だに完全に解明されていませんが、実質コラーゲンの架橋構造の異常や細胞外マトリックスの分解酵素活性(Matrix Metalloproteisane)やタンパク分解酵素の活性促進が報告されています。また、アトピー性皮膚炎の方など、目に対する慢性的な擦過や打撲などの機械的刺激も発症及び進行の一因となる可能性が示されています。
検査
細隙灯顕微鏡検査や角膜形状検査を行います。細隙灯顕微鏡検査ではある程度突出が強くなってからでなければ判断がつかないため、初期の段階では角膜形状検査が重要になってきます。この検査で、角膜中央部や中央よりやや下方の角膜のカーブが急な場合は、円錐角膜と診断されます。

治療

円錐角膜の治療は、軽症の場合は従来の眼鏡、コンタクトレンズによる治療が可能ですが、角膜形状解析による早期発見が可能になり、早期に角膜クロスリンキングにより進行予防が行われるようになりました。角膜実質内リング、有水晶体眼内レンズ、強膜レンズによる屈折矯正など、病期に応じた治療法を選択することで、患者さんの視機能の維持ならびに向上が可能になってきました。
角膜クロスリンキング
角膜クロスリンキングは、角膜を構成するコラーゲン線維の結びつきを強化して円錐角膜の進行を抑える治療法です。角膜にリボフラビン(ビタミンB2)の目薬を点眼、浸透させて張波長紫外線を照射します。これによって角膜を構成するコラーゲン線維が強力に結びついて、角膜が強化され円錐角膜の進行を停止させます。
有水晶体眼内レンズ
軽度の円錐角膜の方に有用な矯正方法です。円錐角膜自体を治療することはできませんが、眼内に近視および乱視矯正用の有水晶体眼内レンズをインプラントすることで、裸眼の視力を改善します。
角膜内リング
角膜の中に透明なリングを症埋め込むことで、角膜の形状を変え、円錐角膜の突出を抑える治療です。裸眼視力の改善、コンタクトレンズのフィッティングの改善が期待できます。


強膜レンズ

角膜の境界より周辺のでフィッティングされる直径が大きいハードコンタクトレンズで、角膜ではなく強膜で支持されており、角膜全体をドームで覆うようにデザインされていているレンズです。
【執筆者】秦 誠一郎(スカイビル眼科医院 院長)
